These are notes from Dr Ravi Ramakantan’s film reading session in which a malignant bone lesion was presented by the residents.
Mental approach to a tumor and tumor-like conditions of the bone:
1. First of all, look whether skeleton is mature or immature by looking at fusion of epiphysis and also simultaneously correlate with age. This helps narrow down differentials. This should be amongst the first descriptors in the exam (this is a plain radiograph of mature/immature skeleton…)
2. Ignore the obvious: Always look for other lesions or any other significant findings before focusing on the obvious pathology. This holds true for any imaging study or finding. So for example, if you see a lung mass on a chest x-ray, ignore it and look instead at the rest of the lungs, bones etc for metastases.
3. Site- classify whether lesion is
- Epiphyseal/metaphyseal/ diaphyseal
- Cortical based/medullary
In the mature skeleton, you may use the term ‘region of metaphysis’ rather than call it metaphyseal while describing it.
4. Always look at fat planes for differentiating infection from tumor. Usually, the fat planes get obliterated and become white in infection due to edema, while tumors will displace fat planes without obliterating them. So if you see fat planes in soft tissue swelling, it is more likely to be tumor. Other way round is however not that big a help as fat planes may not be normally seen in many individuals. Secondly when the infection is close to a joint, it can involve the joint and even cross. It is very uncommon for neoplasms to cross the articular surface.
5. Remember, the best way to differentiate benign (non-aggressive) bone lesions from aggressive ones is radiographs (and not MRI or pathology). The best clue is offered by looking at the zone of transition; narrow zone of transition for non-aggressive lesions and wide zone of transition for aggressive pathologies. The zone of transition along all margins should be delineated as if you can draw it with a pencil (as aggressive tumors may also have one well defined margin as they grow along the path of least resistance).
6. Then talk of bone forming or bone destroying (non bone forming) tumors by looking at the matrix. Matrix can be black (only bone destroying lytic lesions), bone forming, or grey (destruction plus fluid). Grey matrix can be due to either fibrous or cartilaginous or fluid components or can be ground glass in appearance (as in fibrous dysplasia). Talk of calcification; if present it indicates a cartilaginous matrix
7. Finally, search for periosteal reaction, soft tissue component, and associated findings like fractures (if any).
DESCRIPTION OF A CLASSIC BONE LESION

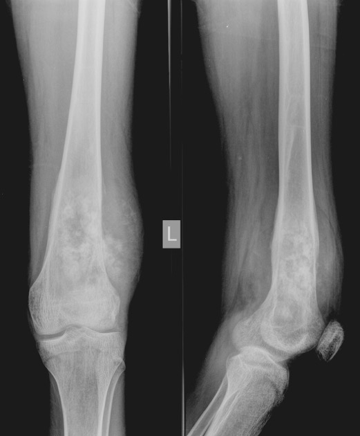
These are frontal and lateral radiographs of the lower 2/3 of the right femur and the knee joint of a mature skeleton. There is an expansile mass in the distal shaft of the femur with a soft tissue component on the lateral, anterior, and posterior aspects. It demonstrates areas of bone formation within. The zone of transition is wide. Fat planes are displaced by it and appear prominent, suggesting wasting of muscles. There is irregular periosteal reaction with Codman triangle present on the lateral aspect. No fracture. No other lesions. Overall findings are consistent with osteogenic sarcoma.
– Anurag Gupta, Radiology resident, Tata Memorial Hospital

Pingback: Description of a bone lesion (osteogenic sarcoma) – Cafe Roentgen
Very beautifully explained…need more x Ray’s like this…
LikeLike