More details about approach to analyzing and describing a bone lesion can be seen in our blog on this topic based on Dr Ravi Ramakantan’s film reading session.

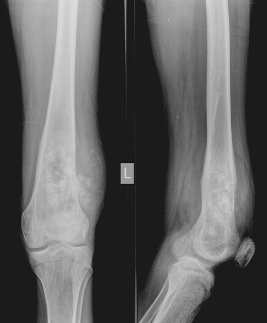
These are frontal and lateral radiographs of the lower 2/3 of the right femur and the knee joint of a mature skeleton. There is an expansile mass in the distal shaft of the femur with a soft tissue component on the lateral, anterior, and posterior aspects. It demonstrates areas of bone formation within. The zone of transition is wide. Fat planes are displaced by it and appear prominent, suggesting wasting of muscles. There is irregular periosteal reaction with Codman triangle present on the lateral aspect. No fracture. No other lesions. Overall findings are consistent with osteogenic sarcoma.
