The basic criteria to read spinal X-rays is to follow ABCS
A: Alignment
B: Bones
C: Cartilage (Intervertebral Disc Spaces)
S: Soft Tissue
CERVICAL SPINE:
To assess the adequacy of the lateral radiograph the following points needs to be assessed.
- There should not be anything obscured by jewelry or other opaque objects.
- You must be able to see at least top half of T1 & occiput & palate adequately.
Cervical spine lateral radiograph:
Alignment –
Following 4 lines have to be assessed (figure below):
- Anterior vertebral line: Along anterior aspect of vertebral bodies (Red)
- Posterior vertebral line: Along posterior aspect of vertebral bodies (Blue)
- Spinolaminar line (Yellow)
- Posterior Spinous line (Green)

“Pseudosubluxation”– It can be normally seen in young children due to immature muscular development and in adults due to ligamentous laxity. It disappears on extension, thus confirming the diagnosis.
Beyond alignment, the following things have to be looked carefully:
- Bones for symmetry.
- Fractures have to be looked carefully.
- Posterior quadrilateral architecture
- Sag dimension of cervical spine canal: Spinal canal diameter is significantly narrowed if <12 mm
- Retropharyngeal/retrotracheal space:
- Retropharyngeal space not > 7 mm.
- At level of C3 & C4, not > 5 mm
- Retrotracheal space not > 22 mm in adults or 14 mm in children younger than 15 years.
Rule to remember: ’7 at 2 & 2 at 7’: 7 mm at C2 and 2 cm at C7
- Anterior atlanto-dental interval:
- 3 mm in adult (5 mm in children)
- > 3.5 mm indicates injury to transverse ligament
- > 5 mm indicates complete transverse ligament rupture and instability
Cervical AP spine radiograph:
Checklist:
- Symmetry and size of vertebral bodies
- Check uncinate processes for fracture & degeneration
- Check transverse processes for fracture
- Alignment of spinous processes
- Check for spina bifida, fracture (double spinous process sign)
- Check pedicles for osteolytic activity and rotation
- Check vertebral end plates
- Check tracheal shadow for deviation
- Check for cervical ribs
Odontoid view:
- Check dens for fracture, agenesis, & non-union
- Check atlas arches, particularly for fracture
- Note distance between dens& each lateral mass
- Check occipitoatlantal and atlantoaxial joints
Cervical oblique radiographs
- Check foramina for alterations of size & shape
- Check pedicles for fracture or osteolytic activity
- Check laminae for alignment
Flexion & extension views:
- To asess ligamentous laxity
- 4 lines maintained
- Prevertebral soft tissue increase by 1 mm is normal.
THORACIC AND LUMBAR SPINE:
Frontal radiograph:
- “Blockhead” – vertebral bodies form outline of head
- Pedicles = “eyes” of face
- Spinous process = nose.

In thoracic frontal radiographs following things have to be looked for:
- Alignment
- Rule of twos – interspinous space, interpediculate distance, facet joint space, vertebral body wedging should not vary >2mm in adjacent segments
- Check ribs
- Paraspinal lines
In lumbar frontal radiographs following things have to be looked for:
- Alignment
- All components of vertebrae
- Check soft tissues for stones, calcification or aneurysm of abdominal aorta
- Check psoas shadow
- Look for abnormal gas patterns (ileus, etc.)
- SI joints
In lateral radiographs following things have to be looked for:
- Alignment
- All components of vertebrae
- Remember that the L5 foramen is projectionally small
- Intervertebral disc space
- Soft tissue
PATHOLOGIES:
The commonly encountered conditions are enlisted below with their differentials.
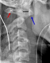
Atlanto axial dislocation:
As mentioned above, normal alotantodental interval (black line in the figure) is 3 mm in adults and 5 mm in children. Flexion and extension radiographs are helpful.
The common causes include:
- Arthritis – RA, psoriasis, JRA, SLE, ankylosing spondylitis
- Congenital – Down’s, Morquio’s, spondyloepiphyseal dysplasia
- Infection – retropharyngeal abscess
- Trauma

Decreased Bone density:
Differentials include:
- Osteoporosis
- Osteomalacia
- Hyperparathyroidism
- Osteolytic metastases
- Multiple myeloma
- RA, ankylosing spondylitis
Solitary collapsed vertebra/ Vertebra Plana:
Differentials include:
- Trauma
- Infection
- Osteoporosis
- Langerhans cell histiocytosis
- Metastases
- Multiple myeloma
- Lymphoma

Ivory vertebra sign: Increase in opacity of vertebral body that retains its size & contours, with no change in the opacity & size of adjacent intervertebral disc.
Differentials include:
- Osteoblastic metastases
- Lymphoma
- Paget disease
- Fluorosis
- Osteopetrosis

Rugger jersey spine:
Differentials include:
- Renal osteodystrophy
- Osteopetrosis & myelofibrosis
Osteopetrosis: Hamburger or sandwich vertebra is a classic sign

Ant scalloping of vertebra:
Differentials include:
- Aortic aneurysm
- Tuberculous spondylitis
- Lymphadenopathy
Solitary dense pedicle:
Differentials include:
- Osteoid osteoma / osteoblastoma
- Sclerotic metastases
- Secondary to spondylolysis (ipsilateral or contralateral)
- Secondary to absent or hypoplastic pedicle on opposite side
Widened interpediculate distance:
Differentials include:
- Meningomyelocele
- Diastematomyelia
- Intraspinal mass especially ependymoma
Disc space narrowing:
Differentials include:
- Infection
- Disc herniation
- Remember that the normal L4-5 disc space is greater than other intervertebral disc spaces
Intervertebral disc calcification:
Differentials include:
- Degenerative spondylosis
- Alkaptonuria
- CPPD
- Ankylosing spondylitis
- JRA
- Hemochromatosis
- Gout
- Idiopathic
DISH:
- Flowing calcification & ossification along anterolat aspects of at least 4 contiguous vertebral bodies with or without osteophytosis
- Preservation of IVD height
- Absence of marginal sclerosis & facet joint fusion
- Normal sacroiliac joints
Unilateral Facet Dislocation
- Flexion with rotation
- Stable
- Anterior displacement of <than 50% of one cervical vertebra
- Rotation of the affected vertebra
- Lateral displacement of spinous process
Fractures:
Odontoid fracture has to be differentiated from Os Odontoideum
| Os odontoideum | Odontoid fracture | |
| Zone of separation | Wide | Narrow |
| Margins | Smooth, Sclerotic, round | Irregular |
| C1 anterior arch | Large and sclerotic | Normal |
Examples:
1. Report format for frontal and lateral radiographs of the lumbar spine
Findings/impression:
There are five non-rib bearing lumbar type vertebrae. There is no fracture or destructive osseous lesion. Straightening of lumbar spine. Alignment is maintained. Mild to moderate degenerative changes at L5/S1. Vertebral body heights and intervertebral disc spaces are otherwise intact. Paraspinal soft tissues are unremarkable. Visualized, sacroiliac joins are unremarkable.
2. Report format for frontal and lateral radiographs of the cervical spine
Findings/Impression:
There is no acute fracture or destructive osseous lesion. Alignment is maintained. Vertebral body heights and intervertebral disc spaces are intact. Preverbal soft tissues are unremarkable. Lung apices are clear.
3. Reporting format for frontal and lateral radiographs of the lumbar spine with compression fracture
Findings:
There are five non-rib bearing lumbar type vertebrae. There is an approximately 30% superior endplate wedge compression fracture of L1 with retropulsion of the posterior superior endplate likely contributing to mild canal narrowing. Alignment is maintained. The paraspinal soft tissues are unremarkable.
Impression:
30% superior endplate wedge compression fracture of L1 with posterior superior endplate retropulsion contributing to mild canal narrowing.
– Ankita Ahuja, Innovision Imaging, Mumbai

Pingback: ‘Routine’ spine X-ray formats – Cafe Roentgen
Very good post. Please continue to upload such posts.
LikeLike
Thank you Ma’am..very useful information.
LikeLike