Sachin is Assistant Professor in Pediatric Radiology at Medical College of Wisconsin. He conducted a fantastic session on pediatric elbow imaging (as also on pediatric foot alignment; see the subsequent blog). Many of the images in this blog and the subsequent one are also contributed by him; a huge thanks!
The topics are covered in the following order:
- Elbow effusion
- Ossification centres
- Alignment
- Accurately diagnosing common elbow fractures
A. Elbow effusion
1. If there is an effusion on a pediatric elbow radiograph in a patient with trauma and pain, there is a possibility of the kid of having an associated radiologically occult fracture. The positive predictive value for this sign varies from 17-76% as per different prospective studies.
Hence, in a child with elbow joint effusion and no noticeable fracture, casting of the elbow is done and a repeat radiograph is performed after around 2 weeks. If there are signs of healing, the cast is continued, whereas if there are no signs of healing then it was just an effusion without any fracture and the case is removed.
2. Methods to look for elbow effusion on elbow radiograph:
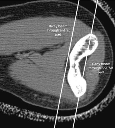
- Posterior fat pad of the elbow lies deep within the olecranon fossa while the anterior fat pad is not flanked by bone on either side (see figure below). Hence, on a lateral radiograph, the anterior fat pad should be normally visible and the posterior fat pad should not be visible (see figure below).


- The anterior fat pad is closely associated with the bone and is present only along the lower humerus.
- If there is an elbow effusion, it pushes both the fat pads outside, so that the posterior fat pad is no longer masked by the supracondylar ridges and becomes visible on the radiograph. The anterior fat pad which was normally seen adjacent to the humerus, gets lifted up inferiorly and a fluid fat interface can be seen (sail sign).

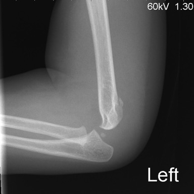
- Do note that if the elbow effusion is very large, both the anterior and the posterior fat pads may get completely effaced and not visible (false negative). However, you should be able to see significant soft tissue swelling in such cases and make the diagnosis (figure below).

3. A good lateral view significantly increases the sensitivity of detection of elbow effusions. For a good lateral view:
- Olecranon should be in profile
- Capitellum should not be superimposed on the olecranon
- Radius should be anterior to the ulna.
- Slight amount of overlap of the radial head and the coronoid process is acceptable.
- Superimposition of the posterior supra-condylar ridges is the best predictor of a good lateral radiograph.
4. Technique to get a good lateral radiograph: Shoulder and the elbow should be at the same level. Hand should be placed with the thumb up. The central ray should be at the level of the elbow.
B. Ossification Centres of the elbow
1. The elbow has six ossification centres and these appear at different years of life. The sequence is as follows:
Capitellum- 1 year
Radial head- 3 years
Internal epicondyle- 5 years
Trochlea- 7 years
Olecranon- 9 years
External epicondyle- 11 years
2. The order of appearance is more important than the age and is almost always unchanged.
3. If on an elbow x-ray with history of trauma, an ossification centre is missed, suspect an avulsion fracture of the centre. For example, if you see capitellum, radial head and trochlea but do not see internal epicondyle in place, suspect an avulsion of the same. The displaced centre may not always be easily visible due to overlap with other bones.
Soft tissue swelling and altered position or orientation of the ossification centres (you will realize the normal orientation of most ossification centres after having seen a few pediatric elbow x-rays carefully) can also be clues for avulsion fractures.
Thus, it is most important to ALWAYS look at all the ossification centres and ensure that they are present in correct sequence to avoid missing an avulsion fracture.
4. Note that the trochlea can normally appear irregular or have more than one ossification centres (no one said radiology is easy!); do not mistake this for a fracture. Keats atlas of normal variants is a good reference for this.
C. Elbow Alignment
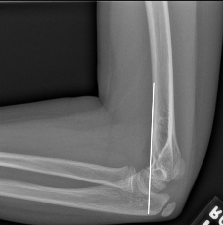
1. Anterior Humeral Line: Drawn along the anterior inferior cortex of the humerus, it should pass through the middle third of the capitellum (a good lateral radiograph is a pre-requisite to apply this rule).

The thinnest part of the bone in the distal humerus is the part where the coronoid and the olecranon fossa come together. In supracondylar fractures, there is some amount of posterior angulation at this point. Thus the anterior humeral line will no longer pass through the middle third of the capitellum. It will either pass through the anterior third or even anterior to that.
The relation of the anterior humeral line with the capitellum is not very accurate at a younger age (some say 2.5 years and others say 5 years). Essentially, the older the child the more reliable is the anterior humeral line.
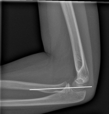
2. Radio-Capitellar Line: This goes across the joint, and is hence useful to detect dislocation.
It is drawn through the neck of the radius and it should pass through the capitellum (not necessarily bisect the capitellum). This relationship holds true in all views. If it does not pass through the capitellum, it implies that the radius is dislocated.
D. Accurately diagnosing common elbow fractures
The common elbow fractures include supracondylar (>60%), lateral condyle (10-20%), medial epicondyle (10%), radial neck, and olecranon. We will discuss only the first two in detail.
1. Supracondylar fracture
This is usually due to a hyperextension injury. Thus the anterior cortex is the first to fracture; with further severity, the posterior cortex fractures followed by further displacement of the joint. The description of the fracture should include the degree and direction of displacement as well as whether the cortex is involved as this determines treatment decision.
Gartland classification:
Gartland 1- Non displaced
Gartland 2- Displaced but posterior cortex intact
2. Lateral condyle fracture (second most common paediatric fractures):
Mostly due to varus force on the elbow.
Milch classification-
Milch I-fracture line traverses lateral to capitello-trochlear groove
Relationship between humerus and forearm is intact
Elbow is stable
Milch–fracture line traverses through the capitello-trochlear groove
Elbow is unstable
However, it is difficult to use the classification on radiographs to know whether the fracture line is extending to the trochlea or not, as the trochlea is not ossified in most of the cases. So the surgeons came up with another classification based on amount of displacement between the fracture fragments, known as the Weiss classification.
Weiss classification
<2 mm: just cast the elbow (the lateral condyle gives rise to the common extensor origin and hence there are chances of displacement due to the continuous pull on the fracture fragment; so casting is important).
>2 mm: do an open reduction and internal fixation.
– Suvarna Kote, Radiology Resident, KEM Hospital
– Akshay Baheti, Assistant Professor, Tata Memorial Hospital
