CHARACTERIZATION OF RENAL MASSES
Many renal cell carcinomas (RCCs) are detected incidentally on imaging. Certain definite benign lesions on CT for which additional imaging is not necessary:
- On contrast CT: Homogeneous lesions with density less than 20 HU are benign
- On non-contrast CT: Homogeneous lesions with density less than 20 HU, or lesions with density more than 70 HU are benign
- Lesions with macroscopic fat = Angiomyolipoma
Additional imaging/follow-up is required when the renal lesion does not fit into the above criteria. This is usually performed with an ultrasound or with a CT/MRI renal mass protocol.
CT protocol for renal masses:
- Non-contrast phase
- Arterial phase (25 s) – renal arterial anatomy for pre-operative planning
- Corticomedullary phase (45 s) – useful for renal vasculature assessment and renal pseudotumor detection
- Nephrographic phase (90 s) – sensitivity to detect a renal lesion is maximum on this phase; it is also easier to characterize lesion enhancement
- Excretory phase – to be taken only if transitional cell carcinoma is in the differentials
MRI protocol for renal masses should include:
- In-phase and opposed-phase images – to catch intracytoplasmic fat
- Fat suppressed T2-weighted images
- Pre and post-contrast T1 weighted images sos subtraction images: hemorrhage/protein may be hyperintense on the pre-contrast images; subtraction images are then needed to catch true enhancement
- Diffusion: low ADC for papillary RCC, urothelial carcinoma, lymphoma
MORE ON RENAL MASSES
The surgical solid renal masses are RCC, invasive TCC and oncocytoma, while renal masses with usually non-surgical management include AML, lymphoma, metastases, and pseudotumor.
Angiomyolipoma
- Presence of macroscopic fat on CT (less than minus 10 HU) or MRI is characteristic of a renal angiomyolipoma (AML). AML may also demonstrate microscopic fat, which however can also be seen in RCCs.
- Embolization may be done prophylactically if their size is more than 4 cm, as there is a risk of bleeding
- Multiple AMLs may be seen in tuberous sclerosis
RCC subtype characterization:
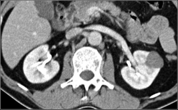
1. Clear cell RCC: These are usually intermediate to high intensity on T2, demonstrate intense heterogeneous enhancement, and may (uncommonly) demonstrate microscopic fat, which is detected on the in-phase and out-phase images. Calcification may be present. The presence of microscopic fat indicates either AML or RCC, but microscopic fat along with calcifications is suggestive of RCC. Although hypervascular, remember that they will still usually appear relatively hypodense compared to the kidneys as the normal kidneys themselves are extremely enhancing. Do not call well enhancing but relatively hypodense renal masses as papillary RCCs!

Classic hypervascular clear cell RCC. Note that the mass still remains hypoattenuating compared to the normal renal parenchyma.
Case courtesy of David Puyó, <a href=”https://radiopaedia.org/”>Radiopaedia.org</a>. From the case <a href=”https://radiopaedia.org/cases/22047″>rID: 22047</a>
2. Papillary RCC: These usually demonstrate low T2 signal and are hypoenhancing.

Hypoenhancing papillary RCC of the left kidney
Case courtesy http://www.radiologyassistant.com
3. Imaging differential: Chromophobe RCCs are rare and are not discussed. AML with minimal fat is however a not that uncommon differential. It is difficult to differentiate it from RCC as it is also an enhancing lesion, and will not demonstrate macroscopic fat. Features favoring a fat poor AML include a smaller tumor and younger age of the patient. The lesion is usually hyper-attenuating on non-contrast CT, and has low T2 signal on MRI.
Thus, clear cell RCC is enhancing and T2 hyperintense, AML with minimal fat is enhancing and T2 dark, while papillary RCC is hypoenhancing and T2 dark. Unfortunately, this rule is not a 100% rule and imaging overlap does happen, making biopsy the gold standard for diagnosis when in doubt.

cRCC: Clear cell RCC; AMLmf: AML with minimal fat; pRCC: papillary RCC; white = hyperintense/hypervascular; grey = hypointense/hypovascular
MANAGEMENT OF RENAL MASSES (AUA GUIDELINES 2017):
A. When to biopsy a renal mass?
Renal mass should be biopsied when it is suspected to be either: Hematologic, metastatic or inflammatory. If imaging is characteristic of malignant primary renal neoplasm, the patient should ideally directly head for either nephron sparing surgery or radical nephrectomy, although biopsy for atypical lesions is still an option (to rule out a fat poor AML) in select cases (read reference 1 below for more details).
B. When is image guided ablation of a renal mass to be preferred?
Ablation is to be preferred for a cT1a stage RCC less than 3 cm in size. Either radiofrequency ablation (RFA) or cryoablation can be done. The renal mass should be biopsied prior to the ablation.
C. When is partial nephrectomy / nephron sparing surgery preferred for treating an RCC?
It is preferable to avoid a complete nephrectomy if the tumor can be removed while preserving part of the renal parenchyma. This option is possible in patients with anatomically or functionally single kidney, young patients, multi-focal tumors, pre-existing CKD, familial RCC, or proteinuria.
D. When is radical nephrectomy preferred for treating an RCC?
When all of the following criteria are met-
1. Partial nephrectomy not possible even in experienced surgical hands
2. No pre-existing CKD/proteinuria
3. Normal contralateral kidney and new baseline eGFR post surgery will likely be more than 45.
E. When is active surveillance an option in renal masses?
While surgery remains the only curative treatment, RCCs generally grow slowly, and are often detected incidentally on imaging when small in size. Hence, the option of active surveillance is reasonable, particularly in older patients not keen on surgery with a poor risk-benefit ratio. Often, the mass can be continued to be watched if the rate of growth is slow, while intervention/surgery may be needed if the mass grows fast.
- Renal masses suspicious for cancer but less than 2 cm size.
- Patient prefers active surveillance over any intervention.
- When the risks of intervention outweigh any long term survival benefits.
- Tumor growth less than 5 mm per year.
- Non-infiltrative lesion.
References for additional reading:
- Silverman SG et al. Incompletely characterized incidental renal masses: emerging data support conservative management. Radiology 2015
- Israel GM et al. How I do it: Evaluating renal masses. Radiology 2005
- Allen BC. Characterizing solid renal neoplasms with MRI in adults. Abdominal Radiology 2014
- Dyer R et al. Simplified imaging approach for evaluation of the solid renal mass in adults. Radiology 2008
– Ameya Kawthalkar, Assistant Professor, JJ Hospital, Mumbai

caferoentgen, thanks so much for the post.Really thank you! Great.
LikeLike
Asking questions are in fact nice thing if you are
not understanding anything totally, however this piece
of writing gives fastidious understanding yet.
LikeLike
whoah this blog is great i love studying your articles. Keep up the good work! You recognize, lots of individuals are looking round for this info, you can aid them greatly.
LikeLike
It’s an awesome article for all the online viewers; they will get benefit from it I am sure.
LikeLike
Excellent article full of valid information. Thank you
LikeLike