History: Patient with cervical carcinoma admitted in the ICU with urosepsis.

DESCRIPTION:
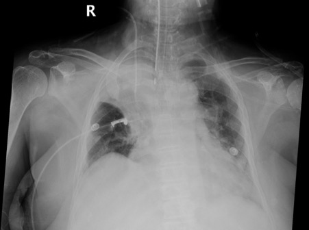
This is a frontal chest radiograph. (As a routine, prefer to say frontal rather than AP or PA as then the discussion could go tangentially!.. In this case of course this is a supine AP film as it is an ICU patient).
The medial end of the right clavicle is away from the sternum as compared to the left, denoting positive rotation in this radiograph. Hence, it is a Right posterior oblique view of the chest. (You can see another example explaining rotation here)
There is right upper zone consolidation collapse. The right transverse fissure is pulled up with the convexity facing up, along with tenting of the right hemidiaphragm. These features are suggestive of volume loss (collapse) involving the right upper lobe.
The positive rotation limits the evaluation of tracheal or mediastinal shift.
The right costophrenic angle is clear.
There is mild left hilar prominence, along with left lower zone obliterating the left costophrenic angle.
The cardiothoracic ratio is around 60% with evidence of left ventricular enlargement.
The tip of the right jugular line is in the region of the superior vena cava. The tip of the ET tube is approximately 4 cm proximal to the carina. Endoenteric tube is present but the tip is not visualized.
IMPRESSION
In the given setting of urosepsis, findings are consistent with an infectious etiology. Do note that if this was an OPD x-ray, an underlying right upper lobe malignancy should have been suspected.
SIGNS OF VOLUME LOSS/ COLLAPSE ON XRAY
The X-ray signs of collapse of a lobe of the lung are divided into direct and indirect ones.
DIRECT SIGNS OF COLLAPSE
A) DISPLACED SEPTA
It is the most direct and reliable roentgen sign of collapse.
Occasionally, septal shift may represent the only sign of collapse when then collapsed lung retains much of it’s air. The more rapid the onset of obstruction, the more complete the collapse and the greater the septal displacement.
B) LOSS OF AERATION
This sign should be accompanied by other signs of collapse to be valid.
C) VASCULAR AND BRONCHIAL SIGNS
Crowding of the bronchovascular markings serves as a direct sign of collapse and is often accompanied by spreading out and arcade like curving of the vessels of the adjacent compensatory lobe of the lung.
INDIRECT SIGNS OF COLLAPSE
A) UNILATERAL ELEVATION OF THE DIAPHRAGM
Infrequently seen in RUL, RML or LUL collapse and even more inconstant in lower lobes collapse.
However, it may be secondary to many other abdominal and thoracic conditions or just a normal incidental finding; so not very specific for collapse.
B) DEVIATION OF THE TRACHEA
This sign is commonly seen in upper lobe collapse and is infrequent in the collapse of the middle or lower lung lobes. Do note that the normal trachea moves slightly paramedian to the right distally.
C) SHIFT OF THE HEART
Cardiac displacement occurs towards the side of the collapsed lobe and is another infrequent sign of collapse as it requires a considerable amount of negative pressure to move a structure of such bulk. Note that in a normal well centered and non-rotated CXR, the right heart border should not go beyond the right vertebral shadow.
D) NARROWING OF THE RIB CAGE
This occurs at the side of the collapsed lobe and is a frequent secondary sign of chronic collapse.
E) COMPENSATORY OVERAERATION
The normal lung tissues adjacent to the diseased lobe become overdistended and hyperlucent; classic being the Luftsichel sign
F) HILAR DISPLACEMENT
Elevation of the hilum is the rule in upper lobe collapse and depression of hilum is frequently seen in lower lobe collapse.
OBLIQUE POSITIONING
An oblique view is the projection taken when the central rays hit any of the body planes at an angle. It is important to know this as a radiologist as also for exam purposes. The views taken are described based on two things: the portion of the body closer to the cassette (right or left oblique) and the location of the cassette with respect to the patient (anterior or posterior oblique).
1) Right Anterior Oblique view (RAO) – The body is rotated so that the right anterior side of the patient is closest to the cassette.
2) Left Anterior Oblique view (LAO) – The body is rotated so that the left anterior side of the patient is closest to the cassette.
3) Right Posterior Oblique (RPO) – The body is rotated so that the right posterior side of the patient is closest to the cassette.
4) Left Posterior Oblique (LPO) – The body is rotated so that the left posterior side of the patient is closest to the cassette.
The images need a bit of imagination! This is a view from the top, with the thick black line representing the cassette. The black oval is the patient’s head and the brown is the patient’s torso. Ant/Post represent the patient’s anterior/posterior aspect respectively.
– Puja Pande, Tata Memorial Hospital

Good effort sir
Thanks
LikeLike
Thank you, Sir.
LikeLike
Thank you, Sir.
LikeLike