Metabolic disorders are the disorders of bone strength, usually caused by abnormalities of minerals (Ca, P) or vitamins resulting in changes in bone mass or structure. The most common ones for exam and practical purposes would be rickets, osteomalacia, scurvy, and osteoporosis, with the first two being discussed in the session. Some broad points first.
- Most metabolic bone diseases result in decreased bone density. The exceptions are fluorosis and secondary hyperparathyroidism which present with an increased bone density.
- The same pathology may present differently and have a different name depending on the patient’s skeletal age. For example, calcium deficiency leads to rickets in the immature skeleton and osteomalacia in the mature skeleton.
- When a child with say stunted growth comes to the pediatrician or radiologist, a common diagnostic dilemma is whether the child has metabolic bone diseases or skeletal dysplasia. If the radiologist can differentiate between the two and tell the pediatrician that this is metabolic bone disease and skeletal dysplasia, we add a lot of value by that itself. Metabolic diseases are usually bilaterally symmetric, while in skeletal dysplasias, specific bones or their parts may be predisposed to involvement. Thus, for a radiologist, it is important to be confident in being able to differentiate between the two.
Normal bone anatomy and physiology
To go into the specifics of metabolic bone disease, one must first understand bone histology and structure, as also bone physiology. Arthur Ham’s Histology textbook is something worth reading to understand bone structure well, and is highly recommended.
A useful analogy to understand bone architecture is reinforced cement concrete (RCC) used in buildings and other construction. RCC is concrete which is reinforced with steel bars (reinforcement bars or rebars); the bars provide the framework and are also strong in tension, while the cement provide bulk and strength.

Steel bars (rebars) in the RCC structure represent bony trabeculae

Cement on the bars is similar to mineral deposition on the bony trabeculae
In the human body, the iron bars are the trabecular meshwork on which the cement, i.e. the osteoid is laid. This osteoid in turn undergoes further mineralization.
What exactly are bony trabeculae? They are a meshwork of carefully arranged anastomosing bony spicules with enough gap in between them to allow for sufficient space for bone marrow. If they become too thick, the space for marrow reduces besides making the bone too heavy, while if they become too thin, the bone will become weak. The trabecular network is dynamic and can rearrange itself as per daily mechanical stresses and forces.
We also need to understand the physiology of bone formation. The trabecular /woven bone is formed first at the desirable site in the body by either enchondral or membranous ossification. This is first covered by osteoid secreted by the osteoblasts. Osteoid is what we see as radiolucent matrix on a plain radiograph. The osteoid then binds the calcium salts to it to form the radiopaque calcified bone; a process that requires vitamin D.
Rickets and osteomalacia
Both these disorders are characterized by lack of bony mineralization, in children and adults respectively. In a layman’s terms, the lack of mineralisation leads to black bones on a plain radiograph. The bone architecture (osteoid) is present, but due to decreased calcification, it is not well seen on the radiograph. Functionally, these bones have reduced tensile strength, resulting in soft bones susceptible to deformities or fractures.
Rickets
1. In rickets, the mineralisation of the bone is hampered resulting in the following features:
a. Apparent increase in the provisional zone of calcification in the metaphyseal (growth plate) region: This is the first radiological sign of rickets. As explained above regarding the physiology of bone formation, the growing bone first deposits osteoid at the growing end in the metaphysis. This is called the zone of provisional calcification; once calcium deposition happens, it becomes actually calcified. In rickets, due to Vit D and calcium deficiency, the calcium deposition doesn’t happen, while the osteoid keeps laying on and on, leading to widening of the zone of provisional calcification.
b. Generalized decrease in bone density.
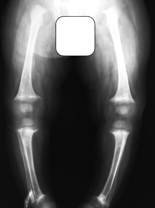
c. Cupping, splaying and fraying (see image below): Wrist in the infants and knees in toddlers and young adults are commonly affected as they have greater growth and they are weight bearing. The splaying and cupping happens due to weight bearing (although this is often even seen in the ribs for unknown reasons). Fraying is seen due to inhomogeneous deposition of calcium on the bony trabeculae in this region.
d. Due to soft bones, there are acquired skeletal deformities like bow legs and knock knees (see case below).
e. Pathological fractures can happen.
f. Rachitic rosary.

Case courtesy of Dr Mohamed Hossam el Deen, <ahref=”https://radiopaedia.org/”>Radiopaedia.org</a>. From the case <ahref=”https://radiopaedia.org/cases/38188″>rID: 38188</a>

Case courtesy of Dr Aditya Shetty, <ahref=”https://radiopaedia.org/”>Radiopaedia.org</a>. From the case <a href=”https://radiopaedia.org/cases/28734″>rID: 28734</a>
2. Often, rickets can even be diagnosed incidentally when the above changes are seen in the proximal humeri (apart from ribs) on a plain chest radiograph. Always make a point to look for this on a routine CXR in a child.
3. Note that the bone age may be underestimated in limb radiographs in rickets, as the ossification centres appear but do not mineralize and remain invisible on the radiograph (if you do an MRI, you will see the appropriate number of ossification centres).
4. When healing in rickets starts after treatment, the first radiological sign of response is the appearance of the White line of Frenkel in the zone of provisional calcification in the metaphysis, signifying that mineralisation of the provisional zone of calcification has begun. Gradually, there is normalisation of the metaphyseal fraying as well, as deposition of calcified osteoid on the trabeculations at the metaphyseal end occurs uniformly.
5. Residual deformities such as knock knees and bow legs remain. These skeletal deformities may be confused for skeletal dysplasias at the first instance. For example, a boy who has had healed rickets in early childhood is often diagnosed with Blount’s disease by the paediatrician, statistically this is going to be healed old rickets in almost all cases.
Osteomalacia
1. The counterpart of rickets in adults (mature skeleton) is osteomalacia. One important symptom is generalized body pain without a specific etiology; this is particularly true when getting up from squatting position. This is often dismissed by the doctors or rest of the family, but is often due to osteomalacia. A classic clinical scenario is a burkha-clad young lady complaining of pain while getting up from squatting position; the burkha contributes to the lack of vit D in this situation.
2. A characteristic feature of osteomalacia is loosers zones. These are the result of deposition of unmineralised osteoid at sites of stress along nutrient vessels. They are often bilateral symmetrical and appear as transverse lucent bands oriented at right angles to the cortex. Common sites are similar to those of stress fractures such as medial aspect of the mid and distal femoral neck, and the pubic rami.
– Rachel Sequeira, Asawari Lautre, Pavithra Devi: Radiology residents, Tata Memorial Hospital
– Akshay Baheti, Assistant Professor, Tata Memorial Hospital

Pingback: Metabolic, infective and neoplastic bones: Dr Ravi Ramakantan’s film reading session – Cafe Roentgen