
Nils Westermark. Does this name ring a bell? If you’re a radiologist, you probably vaguely remember Westermark’s sign, one of about half-a-dozen eponymous signs you had once memorised to remember the findings of pulmonary thromboembolism (a blood clot in one of the arteries of the lungs) on a chest X-ray. But did you know that he was also a prolific sailor who won a silver medal in the Olympic Games?
With the 2024 Olympic Games in full swing in Paris, now seemed like the perfect time to share this story.

Nils Johan Hugo Westermark was born in 1892 in Stockholm, Sweden, to Frans and Margareta Westermark. Little is known about Margareta, but Frans was an Associate Professor of Obstetrics and Gynaecology at the very prestigious Karolinska Institutet in Stockholm when Nils was born. While details about his childhood are scarce, it can be assumed that he and his elder brother, Herbert, shared a passion for sailing.
In 1912, the 5th Olympic Games were held in Stockholm, and the city was all decked up for the Games. More than 2,400 participants from 28 nations competed in this edition of the Games. As far as Olympics go, this was a pretty significant edition. It introduced art competitions, women’s swimming and diving, as well as the pentathlon and the decathlon. It marked the debut of Japan, the first Asian country to participate in the Olympics, and also saw the introduction of electric timing in athletics. Additionally, it was the last Olympics to award medals made of solid gold.

Unlike today, the Olympic Games in the first half of the 20th century were strictly for amateurs, and professionals were not allowed to compete. Essentially, it was an event for sporting enthusiasts, and anyone who earned any amount of money playing a sport was not allowed to compete. These rules were eased gradually in the second half of the 20th century, with the International Olympic Committee voting to allow all athletes to compete in the Games only as recently as 1986.
So, in 1912, sailing enthusiast siblings Nils and Herbert Westermark decided to compete in the Olympic Games that were to be held in their hometown. Along with their teammates Bengt Heyman, Emil Henriques and Alvar Thiel, they entered into the 8-metre mixed sailing category. Their boat was named Sans Atout, which is French for “Without Trumps,” a reference to a hand in card games like Bridge which is played without a “trump suit” – a suit whose cards can beat those of any other suit.

The rules of the event were as follows: two races were to be held, in which all boats had to complete a pre-defined course. The boats which finished first, second and third after completing each race would be awarded 7, 3 and 1 point respectively.
The Norwegian boat Taifun finished first in both races, securing 14 points, and an assured gold medal. The race for the silver medal was much tighter. The Westermark brothers’ boat Sans Atout finished in second place on day 1, scoring 3 points, with the Finnish team on a boat named Örn coming third with 1 point. On day 2, however, Sans Atout finished at fourth place, not scoring any points. Örn came third once again, scoring another point, for a total of 2 points. But this time, in second place was another team from Finland, sailing on a boat named Lucky Girl, scoring 3 points. At the end of the second day, the Swedish team on Sans Atout was tied with the Finnish team on Lucky Girl with 3 points each. A tie-breaker race between these two teams was held the next day to determine second and third places. Sans Atout narrowly won, finishing in 2 hours, 26 minutes, and 44 seconds. Ironically for the Fins, Lucky Girl finished a minute later, at 2 hours, 27 minutes, and 41 seconds. As a result, the Swedish sailing team, which included the Westermark brothers, was declared the winner of the tie-breaker and awarded the silver medal.
After winning an Olympic silver medal at the age of twenty, young Nils went on to complete his medical education at the Karolinska Institutet, and later trained in radiology. In 1928, he became a member of the Swedish Society of Medical Radiology, and two years later, he joined the reputable St. Göran Hospital in Stockholm, one of the oldest hospitals in the country, dating back to the 13th century.
Nils was primarily a chest radiologist, having published a few papers on lung atelectasis, tuberculosis and localising foreign bodies on a chest radiograph. However, his most significant publication focused on the radiographic findings of pulmonary thromboembolism, a condition that can lead to respiratory failure and death. Before the development of the ventilator in the mid-twentieth century, it was even more deadly. Today, this condition is typically diagnosed by a CT scan. In the 1930s, diagnosis involved a more invasive form of pulmonary angiography, a recent technology at the time. Few institutions performed this procedure, relying instead on signs, symptoms, and a helpful clinical history.
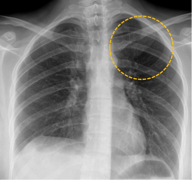
In a 1938 paper published in Acta Radiologica, Nils Westermark described the findings of pulmonary thromboembolism on a chest X-ray. He explained that blood flowing through the lung vessels appeared as finely branching opacities. When a clot obstructs blood flow, these fine opacities are absent, causing the affected lung area to appear very subtly darker in a wedge-shaped pattern on the X-ray film. This sign, although not very sensitive (14%), has been described to have a specificity of 92% in a 1993 study by Worsley et al. This finding of decreased density due to regional pulmonary oligemia (medical-speak for a localised decrease in blood flow in a part of the lung) came to be known as Westermark’s sign and, nearly a hundred years later, radiology residents across the world continue to be quizzed about it on their exams.


In 1955, Nils Westermark became a Professor of Radiology at the Karolinska Institutet. He passed away in 1980 at the age of 87 in his hometown of Stockholm. His brother and Olympic teammate, Herbert Westermark, also had an illustrious career. Herbert joined the Swedish Navy, became a renowned obstetrician-gynecologist, and served as the Surgeon-in-Chief of the Swedish Navy for an impressive 19 years. The remarkable achievements of the Westermark brothers, both in sports and their professions, inspire us to strive for greatness in all areas of our lives.
So, there you have it. The next time you’re looking at a chest X-ray and suspecting regional pulmonary oligemia – think of the man who, before becoming a renowned radiologist, competed in the Olympic Games and won a silver medal for sailing!
– Dr Anmol Dhawan
Dr Anmol Dhawan is a radiologist currently pursuing a fellowship in cardiopulmonary imaging at the University of Alabama at Birmingham in the United States. He enjoys writing about radiology, history and culture. You can check out his blog at https://syndrome.home.blog/ and you can reach out to him at anmoldhawan@gmail.com.
Acknowledgement: “Pranjal Gupta, close friend, fellow quiz enthusiast and radiology resident, who shared this intriguing snippet about Westermark with me a year ago, that he stumbled upon while researching eponymous signs of pulmonary thromboembolism.”
Post script: There have been several other doctors who also won an Olympic medal. I know of a couple – a Google / AI search revealed a few more. The most notable was Benjamin Spock – who won a gold medal in rowing at the 1924 Paris Olympics and ended up becoming a renowned paediatrician. Stephen Rerych won two gold medals in freestyle swimming at the 1968 Olympics in Mexico City. Jenny Thompson is perhaps the most remarkable – winning twelve medals, including eight gold medals in swimming between 1992 and 2004 Olympic Games. She subsequently went on to become a doctor, and is currently a practicing paediatric anaesthesiologist. Clearly doctors and water sports have some winning chemistry!

Outstanding stuff Anmol. Wonderful story.
LikeLike
Such a nice piece of information..thank you for sharing ❤️
LikeLike
Information packed write up, which is equally fun to read. Keep it up Anmol, you too can surely be a top class radiologist, superb author and of course not to forget a brilliant quizzer! All the best and keep your hobbies alive. We are always too eager to read your new one! So proud of you dear 😘
LikeLike
Very interesting read Anmol! Keep writing.
LikeLike
A nice write-up. This story will help recognise radiologists about the person and Westermark’s sign!
Dr C D Mahajan, Nandurbar
LikeLike
This was a pleasure to read; very informative and engaging!
LikeLiked by 1 person
Well done, appreciate the effort and detail!
LikeLiked by 1 person